Josh Gregory
  • Home
  • About
  • Projects
  • Blog
  • Resume
Categories
All (4)
Artificial intelligence (1)
Classes (1)
Graduate (1)
Medical devices (1)
Medical imaging (1)
Research (1)
Surgery (1)
Undergraduate (1)

Projects

Modeling Blood Clots Dynamically

Research
Undergraduate

Recreating blood clot fluid dynamics in silico from intravital microscopy imaging.

Oct 7, 2025
Josh Gregory

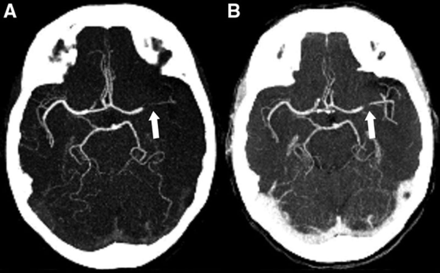
AI in Medical Imaging

Artificial intelligence
Medical imaging

Applying artificial intelligence to predict stroke faster

Sep 30, 2025
Josh Gregory

Aesthetics of Design Portfolio

Graduate
Classes

Portfolio for Aesthetics of Design, Spring 2024

May 6, 2024
Josh Gregory

3mm Mini Laparoscopic Port

Surgery
Medical devices

Collaboration with Children’s Hospital Colorado to create a novel surgical port

May 2, 2024
Josh Gregory
No matching items
  • © 2025 Josh Gregory